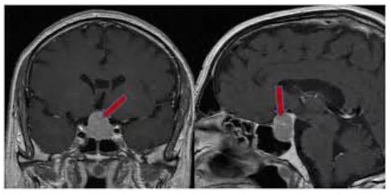
Hipofiz adenomları çoğunlukla iyi huylu tümörler olup kafatasının tabanında ve beynin altında yerleşmiş olan hipofiz bezinden kaynaklanır. Hipofiz bezi Beyinin en alt kısmında, gözlerin arkasında tam ortada tek olarak bulunan ve hormon yapımından sorumlu 1 cm boyutunda bir organdır.Hipofiz bezi vücudumuzdaki birçok hormonun salgılanmasını ve vücudun su dengesini sağlayan merkezi ve hayati bir organdır.

Buradan kaynaklanan tümörler ya fazla hormon salgısına bağlı olarak ya da aşırı büyüyerek çevre dokulara yaptığı bası ve yayılma nedeniyle belirti verirler. Hormon salgılamayan adenomlar genellikle yavaş büyürler ve yıllarca belirti vermeden kalabilirler. Hormon salgılayanlar ise hormonların vücutta ortaya çıkardığı etkiler nedeniyle erken belirti verirler.
Ne Kadar Sık Görülürler?
Hipofiz adenomları kafa içinde yerleşen tüm tümörler içinde beynin kendisinden ve zarından kaynaklananlardan sonra 3. sırada yer alır. Yani nispeten sık bir tümördür. Ortaya çıkış nedenleri tam olarak anlaşılmamıştır. Nadiren genetik geçişli kalıtımsal hastalıklarla birlikte görülürler.
Hastaların Yakınmaları Nelerdir?
Hipofiz adenomları ya salgıladığı hormon tipine göre ya da tümörün fazla büyüyerek çevresindeki dokulara yaptığı baskı nedeniyle yakınma oluştururlar. Hipofiz bezinden çeşitli etkileri olan tipte hormon salgılanır ve bu tür adenomlar fazla salgılanan hormonun etkisine göre bulgu verir.
Süt oluşumunu sağlayan hormon (prolaktin) fazla salgılanıyorsa kadınlarda göğüsten süt gelmesi, adet bozukluğu gibi belirti verir. Erkeklerde ise cinsel güç azalması, sakallarda azalma, göğüslerde büyüme gibi durumlar ortaya çıkabilir. Prolaktin salgısı çok olan bu hastalar tedavi edilmezlerse çocukları olmayabilir.
Eğer büyüme hormonu fazla salgılanırsa ellerde ayaklarda ve dilde büyüme, aşırı horlama, nefes alma sorunları, şeker hastalığı ve yüksek tansiyon ortaya çıkması gibi belirtiler olur.
Kortizol aşırı salınımı olursa vücutta fazla yağ toplanması, ciltte kızarıklıklar, tedaviye dirençli şeker hastalığı ve yüksek tansiyonun ortaya çıkması gibi şiddetli belirtiler görülür.
Bunlara ek olarak bazı hastalarda hipofiz tümörü büyüyerek beyin zarını gerdiği için gözlere ve enseye doğru yayılan baş ağrısı ortaya çıkabilir. Tümör görme sinirine baskı yaparsa görme bozuklukları görülebilir. En tipik görme bozukluğu hastanın her iki yanını net görememesi durumudur. Aşırı büyük tümörlerde bu durum körlüğe kadar ilerleyebilir.
Hormon salgılamayan hipofiz adenomları ise normal hipofiz dokusunu ezdiği için tüm hipofiz hormonlarını azalmasına neden olabilir. Bu durumda hastalarda halsizlik, yorgunluk, tansiyon düşüklüğü, cilt kuruluğu, cinsel güç azalması gibi hormon eksikliği bulguları ortaya çıkabilir. Nadiren hipofiz adenomu kanama yapabilir ve bazen ani görme kaybına yol açar. Bu durum acil cerrahi tedavi gerektirir.
Hipofiz Adenomu Tipleri Hangileridir?
Hipofiz adenomları salgıladıkları hormon tipine göre sınıflandırılır ve adlandırılır. Sık olan adenom tipleri şunlardır:
Prolaktinoma (aşırı süt yapıcı hormon salgısı),
Cushing Hastalığı (aşırı kortizol salgısı),
Akromegali (aşırı büyüme hormonu salgısı),
TSHoma (aşırı tiroid hormonu salgısı) ve hormon salgılamayan adenomlar.
Tanısı Nasıl Konur?
Hipofiz adenomu bulguları saptanan hastalarda öncelikle kan hormon testleri ve görme muayenesi yapılır. Kesin tanı için hipofiz Manyetik Rezonans Görüntüleme tetkiki gereklidir. Cushing Hastalığında çok nadiren beyin anjiyografisi yapılarak hipofiz bezinin komşuluğundan kan örneği alınması gerekebilir.

Tedavi Seçenekleri Nelerdir?
Hipofiz adenomu tanısı alan hastaların tedavi planlamasına genellikle Endokrinoloji ve Beyin-Sinir Cerrahisi bölümleri birlikte karar verir. Hastanın bulguları, adenomun boyutu ve hormon durumu göz önüne alınarak başlıca üç tip tedavi seçeneği vardır:
1- İlaç Tedavisi: Özellikle prolaktinomaların tedavisinde ilk seçenek olup diğer adenomlarda yardımcı yöntemdir. Prolaktinomaların çoğunluğu bu tedaviye iyi yanıt verirler. Bazı büyüme hormonu salgılayan hipofiz adenomları da ilaç ile kontrol altına alınabilirler.
2- Cerrahi Tedavi: Bası bulguları olan ve prolaktinomalar dışındaki tüm adenomların ilk ve en etkili tedavi seçeneğidir. Başlıca iki yöntem kullanılmaktadır:
A- Burun içinden yapılan girişim: Mikroskop yardımı ile veya endoskopik olarak uygulanabilmektedir. Günümüzde en çok tercih edilen yöntemlerdir. Beynin alt kısmını ilgilendiren bir ameliyat olmasına karşın, beyin ameliyatı olarak kabul edilmez. Çünkü burun kökünden girilerek beyin tabanına yani hipofiz bölgesine ulaşılır. Beyin genellikle operasyon sırasında etkilenmez. Bu özelliği ile esas olarak bir sinüs operasyonuna benzer. Hastane yatış süresi operasyondan sonra genellikle birkaç gündür.

B- Açık ameliyat: Beyin içine aşırı derecede büyüyen ve yayılan adenomlarda tercih edilebilir. Günümüzde daha az kullanılmaktadır.
3- Işın tedavisi: Cerrahi ile tam çıkarılamayan veya tüm tedavilere rağmen tekrar eden tümörlerde kullanılır. Günümüzde en çok Gamma-knife adı verilen odaklı ışın tedavisi yöntemleri tercih edilmektedir.
Hipofiz Adenomları Tedavilere Nasıl Yanıt Verir?
Yukarıda bahsedilen tüm tedavi seçenekleri kullanıldığında hipofiz adenomlarının %90’ından fazlası tedavilere iyi yanıt verir.